Reflection
Now that we can figure out the relationship between how fast something is going and where it is at a particular time we are ready to explore how this can be used. A particular example of this is the behavior of sound waves in various settings. I hope to provide a range of useful and meaningful settings for us to consider here.
1) The first thing I want you to do is to figure out the "thunder and lightning" answer for yourself. I'd like you to do this for the US (as in how many seconds/mile) and for your friends in Europe (as in seconds/km). You may take the speed of light to be vlight =3.108 m/s. It will also be helpful to remember that vsound =343 m/s (roughly). You may also need to remember that 1 mile = 1.6 km. You know the answers to these questions if you were in class but make a clear drawing and figure it out clearly for yourself.
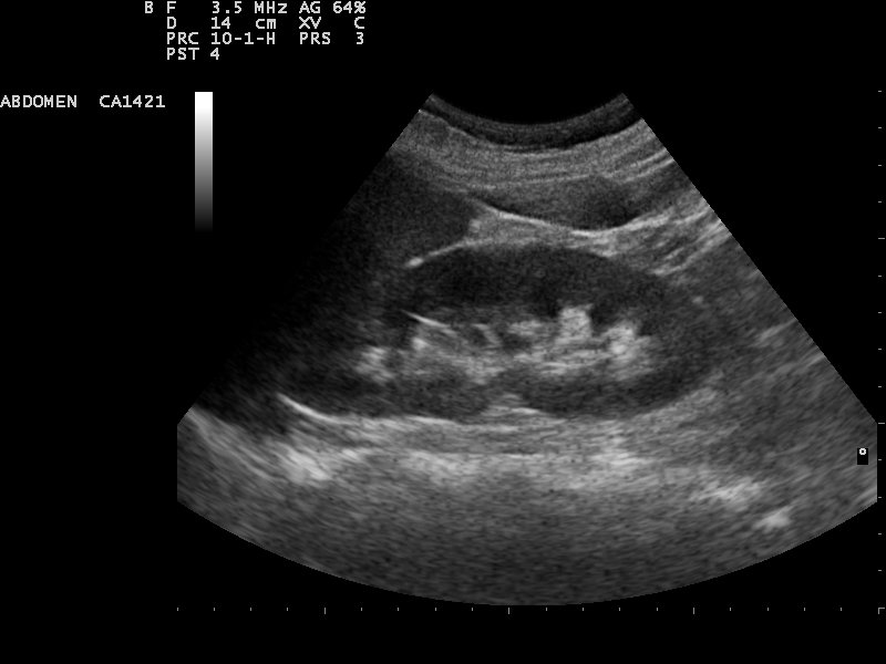
2) Consider the following image of a kidney using sound waves. The sound waves are produced at the top of the image and travel downwards. As they are reflected back they are detected at the top. How much sound is reflected back and when it arrived (much like problem 1) is used to create the image.

- From "top to bottom" on the picture a kidney is about 5 cm "wide". How much longer will it take sound to get back to the detector from the "bottom" of the kidney compared to the "top"?
3) Here's a real life (and challenging) question. The seismic data below was recorded at Columbia, CA and Albuquerque, NM respectively. As you can see from the data the arrival times for the P and S waves are different for each location. Based on this data and the assumption that the P (vP =5 km/s) and S (vS =3 km/s) waves travel at constant speeds how far was the earthquake from each of the sites? This is very much the same as the thunder and lightning questions except that both waves take some time to get to the listener. Draw a picture and follow the same process and it will work. You will need to look carefully at the plot to understand it. The tick marks on the plot actually represent 50 s each.
For the curious you can see what's happening in the world at this website.
4) Again, I would like you to redo the work we did in class where we figured out how high a mirror needs to be mounted above the floor for you to see your feet. The assumptions are that the wall is vertical and the floor is horizontal. In your drawing be clear about where the light starts and how it gets to your eye. Show where the reflection rule (angle in = angle out) applies and why (think about the sizes of the triangles on your drawing) the angles must be the same.
For the next 4 questions (5-8) the setting is the same except for changing the shape of the object being detected. Consider a dark underground cavern that you can't see into. You have a tool that will make a sound and detect when the echo comes back as well as measuring how loud the echo is. Assume that vsound =343 m/s. The delay time is the time it takes the sound to travel into the dark cavern and return to you. This delay time is measured by your tool. You will need to think about our reflection rules as you consider these settings.
5) If you point your tool into the room from the entrance you find that you get a strong echo back in 160 ms from most directions. How far away is the back wall of the cavern and what is it's shape?
6) What would you expect your tool to tell you if there is a flat pillar facing you 25 m into the darkness? Make a sketch and describe the loudness of the echo and the delay time that you expect to measure in that direction. Do you expect to get an echo with a 160 ms delay time in this direction?
7) What would you expect your tool to tell you if there is a flat pillar that is at an angle to you 25 m into the darkness? Make a sketch and describe the loudness of the echo and the delay time that you expect to measure. Do you expect to get an echo with a 160 ms delay time in this direction?
8) What would you expect your tool to tell you if there is a round pillar 25 m into the darkness? Make a sketch and describe the loudness of the echo and the delay time that you expect to measure. Do you expect to get an echo with a 160 ms delay time in this direction?
9) Things have changed in recent years but once upon a time the was a very good camera body made by a company called Pentax. The image below shows the path of the light through the camera BEFORE you push the shutter button.

- What is the connection between this picture and the name of the company?
- If you are the user where is your eye?
- Consider the two reflections at the top right and on the left of the chunk of glass labeled 7. If I make the top right surface "steeper" (less horizontal) do I need to make the left surface more vertical or more horizontal to keep the light on track to the user?
- Can you figure out some angles that work? Only if you have plenty of time....
